Ceramide

Eingriff in den Fettstoffwechsel reduziert Diabetes und Übergewicht

 Robert Klatt

Durch eine Deaktivierung des Ceramid Synthasen 6 haben übergewichtige Mäuse bei weiterhin fettiger Ernährung an Gewicht verloren. )gnuhcsrofleshcewffotS rüf IPM(Foto: © 

Durch die Deaktivierung der Ceramid Synthase 6 haben bereits übergewichtige Mäuse, trotz weiterhin fetter Ernährung an Gewicht verloren. In Zukunft könnte diese Entdeckung auch fettleibigen Menschen beim Abnahmen helfen und so Krankheiten wie Diabetes verhindern.

Köln (Deutschland). Menschen, die durch ihre Ernährung gesunde Mengen von Fett und Zucker konsumieren, speichern überschüssiges Fett in Zellen des Fettgewebes. Bei Personen, die übermäßig viel Fett zu sich nehmen, füllen sich die Zellen des Fettgewebes und der Körper speichert überschüssiges Fett in Muskeln und der Leber. Die Folge dessen sind gesundheitliche Probleme wie eine Fettleber und Insulinresistenz, die das Entstehen von Diabetes mellitus Typ 2 fördern. Verantwortlich dafür sind Ceramide, eine Untergruppe der Fette, die im Körper von Ceramid Synthasen erzeugt werden.

Wissenschaftler des Max-Planck-Instituts für Stoffwechselforschung (MPI) haben nun laut einer im Fachmagazin Cell veröffentlichten Studie eine Möglichkeiten gefunden, um diesen Prozesse im Körper zu unterdrücken. In der Vergangenheit wurde zwar bereits gezeigt, dass das Blockieren der Ceramid-Produktion bei Tieren die Entstehung einer Insulinresistenz verhindert, die Nebenwirkungen haben aber auch die Entwicklung der Tiere gestört, was eine klinische Anwendung dieser Methode nicht möglich macht. Aus diesem Grund haben die Forscher des MPI untersucht, welche Ceramid Synthasen die Insulinresistenz verursachen, um nur gezielt ausschalten zu können, ohne dass dafür die Ceramid-Produktion vollständig blockiert werden muss.

Ceramid Synthasen 5 und 6

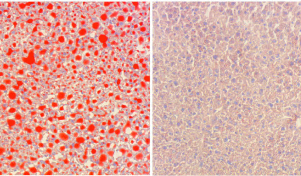
Die Analyse der Forscher ergab, dass die Ceramid Synthasen 5 und 6 Ceramid-Moleküle einer bestimmten Länge bilden, die sich bei fettreich ernährten Labormäuse in der Leber ansammeln. Eine Deaktivierung der Ceramid Synthase 6 sorgte dafür, dass Mäuse trotz einer weiterhin fettreichen Ernährung nicht mehr unter Fettleibigkeit, Fettleber und Insulinresistenz leiden. Eine Deaktivierung der Ceramid Synthase 5 hatte keinerlei Auswirkung auf die Gesundheit der Tiere.

Philipp Hammerschmidt, Doktorand am MPI erklärt, dass die Wissenschaftler „dies sehr überraschend fanden, da beide Synthasen obwohl sie ein identisches Ceramid-Produkt erzeugen einen völlig anderen Effekt auf den Stoffwechsel der Mäuse haben“. Dies liegt daran, dass die Proteine zwar identisch sind aber innerhalb der Zelle an anderen Orten aktiv ist. Mitochondrien, die Energielieferanten der Zellen werden durch Ceramide reguliert, die in der Ceramid Synthase 6 erzeugt werden.

Anreicherung von Ceramiden in Mitochondrien

Die Hauptursache für die Entstehung von Übergewicht und Krankheiten bei Mäusen sind also Ceramide, die sich im Mitochondrien ansammeln und so die Energieversorgung der Zellen langfristig hemmen. Während der Analyse wurden dabei Proteine im Mitochondrien entdeckt, die Ceramide binden, die in der Ceramid Synthase 6 erzeugt wurden. Ceramide aus der Ceramid Synthase 5 sind trotz der nahen Verwandtschaft davon nicht betroffen. Eine Ausschaltung der Ceramid Synthase 6 sorgte auch bei bereits stark fettleibigen Tieren dazu, dass sich das Gewicht trotz weiterhin fetter Ernährung wieder reduziert hat. Parallel dazu hat sich auch der Zuckerstoffwechsels der Mäuse verbessert.

Eine klinische Anwendung bei Menschen in Form von Medikamenten, die die Erzeugung von Ceramiden durch die Ceramid Synthase 6 unterdrücken würden, ist zwar grundsätzlich denkbar. Bis zum Eingriff in den Fettstoffwechsel beim Menschen ist laut Hammerschmidt aber noch „ein weiter Weg“ nötig.

Spannend & Interessant
VGWortpixel